Denti gialli e macchiati? Ti basterà utilizzare questi due ingredienti in combinazione per sbiancarli. Il risultato è davvero sorprendente, non potrai credere ai tuoi occhi.
Fumo, vino, cibo, caffè, a lungo andare, possono ingiallire i denti e macchiarli: il processo di invecchiamento erode gradualmente lo smalto dei denti. Con l’avanzare dell’età, i denti diventano sempre più porosi e suscettibili alle macchie ed alle sfumature gialle e grigie. Anche i cibi, le bevande, il fumo, il tabacco possono causare l’ingiallimento dei denti. Per avere dei denti bianchi è necessario seguire alcuni accorgimenti che ci permetteranno di mantenerli in buona salute: ecco i due ingredienti naturali e green, che ci possono aiutare ad avere un sorriso bianco ed invidiabile. Ecco i buoni rimedi naturali per sbiancare i denti ingialliti.
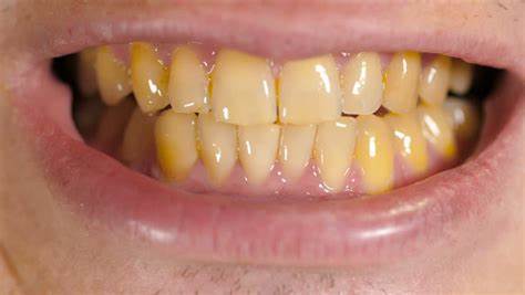
Denti ingialliti: quali sono le cause?
Una delle primissime cause dell’ingiallimento dei denti è la cattiva igiene orale, che comporta l’accumulo di placca e tartaro all’interno della cavità orale. Di conseguenza, insorge e si forma la carie dentaria. Anche le cattive abitudini alimentari sono causa di insorgenza dell’ingiallimento dei denti: alcuni cibi rilasciano pigmenti, che colorano e ingialliscono la superficie dentale. Si pensi al vino, al caffè, alla liquirizia, al caramello ed al cioccolato. Il tabacco è un altro nemico numero uno che causa l’ingiallimento dei denti, in particolare se si utilizza il tabacco masticato.
Denti ingialliti: come prevenire?
Per evitare il processo di ingiallimento dei denti è bene prevenire, mantenendo una corretta igiene orale, eliminando o riducendo il fumo e moderando il consumo di determinati cibi. È fondamentale lavare i denti per la buona salute della cavità orale. Dopo ogni pasto bisogna utilizzare un buon dentifricio, scovolino e spazzolino.

Denti ingialliti: ecco i rimedi naturali
Per evitare l’ingiallimento dei denti è bene ricorrere all’utilizzo dei rimedi naturali per sbiancarli. Basta mescolare due ingredienti naturali per combattere l’ingiallimento dei denti: cenere di noce e aceto di sidro di mele.
Uno dei rimedi più antichi è la cenere di noce, che è ottenuta dalla combustione del legno di noce. A causa dell’elevato contenuto di idrossido di potassio, la cenere di noce è caratterizzata da forte alcalinità e possiede un effetto sbiancante. Può essere utilizzata come collutorio o come dentifricio soprattutto si hanno problemi di gengivite. Inoltre, ha proprietà antiodore e consente di combattere il cattivo odore.
L’aceto di sidro di mele è un aceto alimentare ricavato dal sidro di mele: ha un colore giallo ambrato e ha un aspetto denso. Grazie alla presenza di acido malico, l’aceto di sidro di mele può essere considerato un buon sbiancante naturale per i denti. Se utilizzato in modo corretto questo aceto di sidro di mele permette di purificare bocca e gola, rimuovendo la placca dai denti e uccidendo i batteri che si annidano tra i denti.
Preparare questo rimedio naturale è semplicissimo: basta diluire un cucchiaio di aceto di mele (e non di più) in un bicchiere d’acqua ed aggiungere un po’ di cenere di noce. Ogni mattina ed ogni sera, prima di lavarsi i denti, è bene fare abbondanti risciacqui in modo tale da disinfettare tutta la cavità orale. Fatta questa operazione, si può procedere a lavare i denti utilizzando lo spazzolino ed il dentifricio.







